EXPERTS
口腔科簡介

服務理念:“牙齒亮麗,自信滿滿;口腔健康,笑容綻放”
基本情況:重慶醫科大學附屬璧山醫院(重慶市璧山區人民醫院)口腔科成立于1976年,近年來發展迅速,配備進口牙科綜合治療機23臺,年門診量達3萬多人次。能夠開展各類牙體牙髓病,牙周病,粘膜病,兒童牙病,牙體及牙列缺損,牙列不齊,異位牙、埋伏牙或阻生智齒,口腔頜面部外傷等疾病的診治。
人才隊伍:醫生團隊現有15人,外科學博士1人,碩士研究生8人(1名在讀),大學本科5人;其中副主任醫師2人,主治醫師11人,醫師2人。護理團隊13人,副主任護師1人,主管護師4人,護師3人,護士5人。
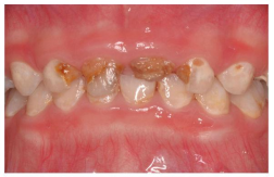
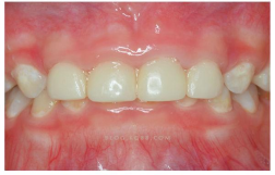
特色技術:無痛舒適口腔治療,高齡高風險人群心電監護下拔牙,口腔疾病多學科會診(MDT),各類兒童牙病的治療,各類種植義齒,各類隱形及固定矯治,各類復雜阻生牙拔除術,牙體美容修復,根管治療術,齦下刮治術,根面平整術,全口吸附性義齒,頜面及口腔腫瘤的切除,頜面及牙槽外傷治療等。


隱形矯治


兒童齲齒治療四手操作下治療兒童牙病


四手操作下治療兒童牙病 兒童口腔健康宣傳
設施設備:配備進口牙科綜合治療機23臺、瑞士EMS、品瑞P8及啄木鳥無痛潔牙機、VDW高精度根管測量儀、根管治療用微型馬達、超聲骨刀、卡瓦種植機、速邁口腔手術顯微鏡等先進口腔治療設備,新增口腔麻醉助推儀器,口腔半導體激光治療儀,并同時配備德國卡瓦口腔錐形束CT、數字化全景機及笑氣鎮靜系統等檢查輔助設備。


數字化全景機及CBCT


笑氣吸入鎮靜系統 牙科綜合治療機


牙周無痛超聲治療儀 牙科超聲綜合治療儀



口腔手術顯微鏡
科研教學:我科為黔東南民族職業技術學院等多所學校的教學實習基地,每年接收實習生及進修生二十余人,每年都有學生專升本成功,教學經驗豐富。參與多項國家級及省部級科研項目,在國內外專業學術期刊發表學術論文30余篇,其中SCI論文4篇,參編學術專著5部,獲得2018中華口腔醫學會西部臨床科研基金資助課題一項。
科室榮譽:多名醫護人員獲得“區優秀政協委員”“區三八紅旗手”“院最美醫生”“院最美護士”“學習之星”等榮譽。
聯系地址:重慶醫科大學附屬璧山醫院門診部3樓口腔科診區
聯系電話:023-41411824